Atlas de histología vegetal y animal

English
Inicio / Ejercicios / Imágenes de tejidos vegetales

Ejercicios. Tejidos vegetales.

IDENTIFICACIÓN de IMÁGENES

Prueba: medio

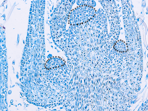
¿Qué tejido encierran los puntos?

A. Meristemo cámbium vascular

B. Meristemo apical radical

C. Meristemo apical cuaulinar

D. meristemo intercalar


Sólo una respuesta es cierta
Selecciona una repuesta
« Anterior 7 de 10 Siguiente »