Atlas de histología vegetal y animal

English
Claro
Inicio / Tejidos animales / Epitelios / Revestimiento / Simple plano

Tejidos animales. Epitelios

SIMPLE PLANO

Epitelio simple plano
Órgano: vaso sanguíneo, endotelio.
Especie: ratón (Mus musculus; mamíferos).
Técnica: tinción con hematoxilina-eosina en cortes de 8 µm en parafina.

En esta imagen se muestra una sección transversal de dos vasos sanguíneos: una arteria a la izquierda y una vena a la derecha. La imagen recuadrada, abajo a la derecha, es una ampliación de la vena. El interior de los vasos sanguíneos está tapizado con un epitelio simple plano denominado endotelio (ver también la figura 1). Los núcleos, aunque muy aplanados, forman la zona más ancha del endotelio. El citoplasma aparece muy delgado y difícil de observar. En el interior del vaso se observan glóbulos rojos y en la vena glóbulos rojos y algunos glóbulos blancos (son células nucleadas). Morfológicamente, el endotelio parece estar formado por un sólo tipo celular, pero en realidad las células endoteliales son diferentes funcionalmente dependiendo de si están en una aorta o en un capilar.

Simple plano
Figura 1. Esquema de la organización celular del epitelio simple plano.

El epitelio simple plano está formado por una sola capa de células aplanadas que presenta aspecto fusiforme en cortes transversales, aunque tridimensionalmente tienen forma de huevo frito. Sus células están unidas entre sí mediante complejos de unión, donde destacan las uniones estrechas. Esto hace que las sustancias que quieran atravesar la capa epitelial tengan que hacerlo a través de las propias células.

La principal misión de este epitelio es favorecer la difusión y el transporte de sustancias entre sus dos superficies, una de ellas normalmente orientada a una cavidad o al interior de un conducto corporal. Se encuentra en los alveolos pulmonares, donde permite la difusión de gases, forma el mesotelio, donde favorece el trasiego del líquido tisular, forma el endotelio, donde favorece el intercambio de sustancias entre la sangre o linfa y el resto de tejidos, forma el segmento delgado del asa de Henle,donde favorece la recuperación de iones y agua del filtrado del riñón, recubre la córnea, etcétera.

Más imágenes

Endotelio
El endotelio (flechas) de los capilares es epitelio simple plano.
Enotelio
Célula endotelial, epitelio simple plano, formando un capilar donde se aprecia que el citoplasma es muy delgado y el núcleo es la parte más gruesa de la célula. Se observa un eritrocito en el interior del capilar. Imagen de microscopía electrónica de transmisión.
Capilares sanguíneos
Capilares sanguíneos, cuyas paredes son epitelio simple plano. Se observan eritrocitos en el interior. Imagen de microscopía electrónica de barrido.
 Alveolos pulmonares
Los alveolos del pulmón están formados por epitelio simple plano (flechas).
Cápsula de Bowman
La cápsula de Bowman del glomérulo de la nefrona en el riñón está formada por epitelio simple plano (flechas).
Asa de Henle
El asa de Henle es un conducto que forma parte de la nefrona formado por epitelio simple plano (flechas). El asterisco señala un capilar con glóbulos rojos.
Córnea
Epitelio simple plano que recubre la parte interna de la córnea. A este epitelio también se le llama membrana de Descemet.
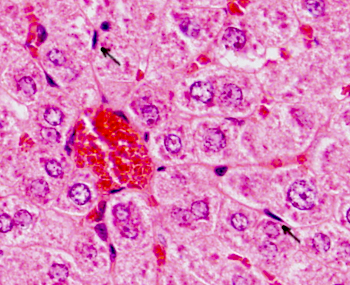
Sinusoides del hígado
En el hígado hay epitelio simple plano discontinuo formando la pared de los sinusoides del hígado. Las flechas indican los núcleos de las células epiteliales.
Inicio / Tejidos animales / Epitelios / Revestimiento / Simple plano Leer en pdf